(410) 224-1105

Smile Gallery

Before and After examples of actual patients

Example 1

Zoom Whitening , Porcelain Crowns #6-11

Example 2

Replaced front crown with Porcelain Veneer # 7, Porcelain Crowns # 8 -9

Example 3

Replace broken crown : Porcelain Veneer # 7 Porcelain Crowns # 8

Example 4

Zoom Whitening, Porcelain Veneers # 7 # 9, Porcelain Crowns # 6 # 8 # 10-11

Example 5

Orthodontics, Porcelain Crowns # 8 # 9

Example 6

Full Mouth Porcelain Reconstruction

Example 7

Full Mouth Porcelain Reconstruction

Example 8

Replacing old veneers #5-12 with new Porcelain Veneers

Example 9

Zoom Whitening before and after

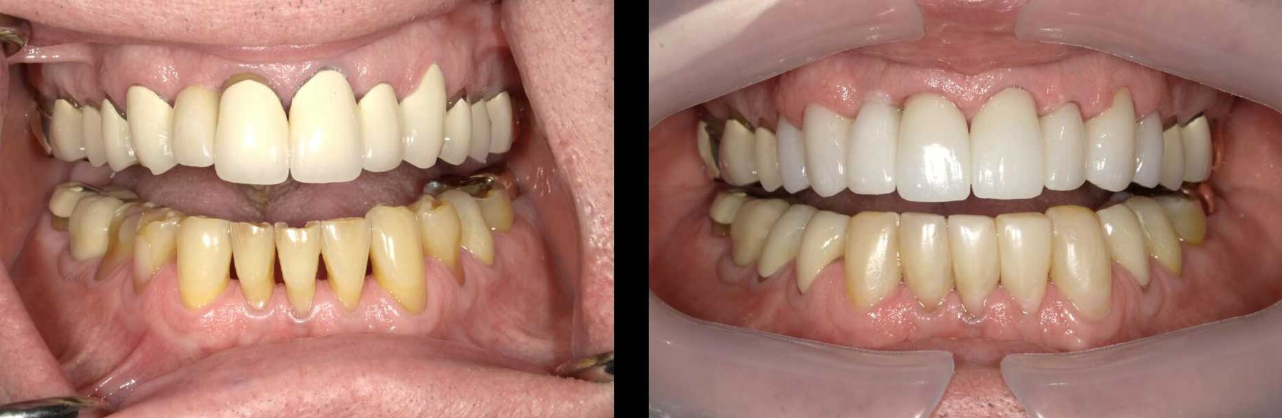
Example 10

Full moth porcelain reconstructions / full crowns and implants

Example 11

Front bridge # 7-9, with full porcelain crowns #3-6 # 10-14

Example 12

Esthetic lower contouring and Zoom Bleaching

Example 13

Upper restorations “ Veneers #5-6 & #12-13, with porcelain front crowns #7-11

Example 14

Replacing upper old crowns with new Zirconia crowns. Lower crowns along with front bonding to close “black triangle” spaces.

Client Reviews

Ehmann Dental Care

600 Ridgely Ave, Ste # 217
Annapolis, MD 21401